71歳/女性
右ひざのお悩みと診断
- 立ち上がるときに強く痛み、夜間痛もあり。
- ヒアルロン酸注射も効かず、人工関節を勧められたとのこと。
- 良い話を聞かないので手術したくないが、現状維持も嫌で再生医療を検討。
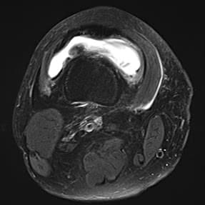
- MRI画像より、変形性ひざ関節症グレード4(末期)と診断。
-
大腿骨内側に突発性骨壊死があり、半月板も外周へ逸脱
-
膝蓋大腿関節に水がたまっているのが白く確認できる
治療1年後の変化
- 寝起きの痛みや階段の上りで改善が得られてきたとのこと。
- 歩くと20分で痛みが出ていたが、1時間歩けるようになった。
- 調子の良い状態を維持できているとのこと。
88歳/女性
右ひざのお悩みと診断結果
- 来院1年前は登山もできていたのに、最近、ひざの内側の痛みが急激に悪化。
- 2週に1度ヒアルロン酸注射を受けているが、改善されず出歩くのも苦痛。
- 一人でも電車で出掛けられるようになりたいとのご希望。
- 変形性ひざ関節症のグレード4(末期)と診断。
-
骨壊死または脆弱性骨折が認められ、半月板は消失、骨棘も複数あり
-
ひざ上に水が溜まっているのも白く確認できる
治療1ヵ月後の変化
- 早く歩けるようになってきたとのこと。
- 以前より多く歩いているので痛みはあるが、治療前ほどではない。
- 色々と意欲が湧いているなど、ご家族からも良い変化があったとのご報告。
79歳/女性
両ひざのお悩みと診断
- 右は13年ほど前から水がたまり、左は数カ月前から痛みと可動域制限あり。
- ヒアルロン酸注射や電気で改善がなく、ご家族のすすめでご来院。
- 主婦なのに痛みで家事に時間がかかるのがお悩み。
- 右ひざはグレード3(進行期)左ひざは4(末期)と診断。
-
左ひざの内側には大腿骨・脛骨ともに骨髄浮腫(骨内の炎症)が見られる
-
右ひざにも骨棘がはっきり確認できる
治療6ヵ月後の変化
- 治療後のご帰宅時から、痛みはあるもののひざが軽くなったのをご実感。
- 家事がサッサッとできていて、ギシギシ感も軽減されてきたとのこと。
- 時間がたつにつれ良くなったそうで、2年ほどたった今も悪化せず経過中。
73歳/女性
左ひざのお悩みと診断結果
- 3ヵ月前まではなんとかやっていたゴルフが今では難しい。
- 電気やマッサージ、ヒアルロン酸注射をするも効果を感じなかった。
- 仕事もあるし、あと1年くらいは好きなこともしたいとご希望。
- 骨棘も複数あり、変形性ひざ関節症のグレード3(進行期〜末期)と診断。
-
内側の半月板は断裂、軽度の骨髄浮腫(骨内の炎症)も認められる
-
中等度の関節水腫(ひざの水たまり)を確認
治療1ヵ月後の変化
- 注入翌日からひざの痛みの軽減を実感される。
- 急な動作で痛みが出るが、階段の上り下りは楽になったとのこと。
- 左脚を地面につけられないほどだった痛みが、今はない。
63歳/女性
左ひざのお悩みと診断
- 特にきっかけに心当たりはないものの、左ひざが痛い
- 他の医療機関では人工関節を説明されたが、手術はしたくない。
- 通っていた鍼灸院で再生医療を知り、ホームページを調べて受診された。
- 変形性ひざ関節症によく見られる水腫や半月板の変性も認められる。
-
中等度の骨髄浮腫(骨の炎症)や半月板の内側への移動が確認できる
-
軽度ながら水がたまっているのが白くわかる
治療3ヵ月後の変化
- 1段ずつ足を揃えながらだった階段の下りが、今は片足ずつ下りられる。
- 信号が変わりそうなときにも小走りが出来るようになったとのこと。
【ひざの痛み専門】
無料でんわ相談・来院予約はこちら
お問い合わせ総合窓口
- 0120-013-712
- 電話受付時間 9:00 〜18:00
(年中無休/完全予約制)
WEBからの来院予約、
お問い合わせ、ご相談はこちらから

